(281) 486-0440
Home
Office
Meet the Doctors
Services
General Dentistry
Dental Cleanings
Dental Fillings
Dental Crowns
Dental Bridges
Dental Bonding
Tooth Extractions
Root Canal Therapy
Scaling and Root Planing
TMJ Treatment
Sleep Apnea Treatment
Dentures
Partial Dentures
Family Dentistry
Children’s Dentistry
Check ups
Preventative Dentistry
Wisdom Tooth Extractions
Dental Sealants
Mouthguards
Traditional Dental Braces
Cosmetic Dentistry
Teeth Whitening
Dental Implants
Tooth-Colored Fillings
Porcelain Dental Veneers
Clear Braces
Invisalign
Dental Restoration
Smile Makeover
Full Mouth Reconstruction
Emergency Dentistry
Toothache
Chipped Tooth
Cavities
Reviews
Smile Gallery
New Patients
Contact Us
Select Page
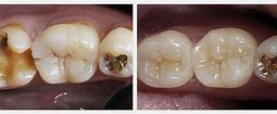
Smile Gallery
SCHEDULE APPOINTMENT